-by Talia Ruxin- In MIT Society of Women Engineering’s (SWE) worldwide essay competition, Sophie Khorasani ’16 and Naazanene Vatan’s ’16 entries placed an impressive first and third, respectively. The contest is designed to promote interest in Science Technology Engineering and Math (STEM) fields and to encourage girls to explore STEM’s applications in the changing world. This year’s prompt entailed determining what the “next transformative technology” will be and how this technology will improve society.
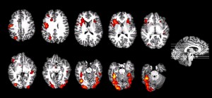
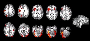
Khorasani’s essay (see below) hypothesized that with the advancements in functional magnetic resonance imaging (fMRI) and positron emission tomography (PET), a new test could be designed that could “pinpoint the precise location of patients’ pain,” as Khorasani remarked. Khorasani explained that part of her thinking behind the invention stemmed from her personal experience with injuries that have sidelined her from the soccer field. The failure to completely identify and treat her injury sparked her imagination towards a revolutionary “series of imaging techniques inspired by PET scans and fMRIs [that] enabl[e] identification of the specific bundle of nociceptors [specialized sensory receptors] responding to an internal stimulus.”

The application of this type of imaging technology could, in the long run, be cost-effecient because, as Khorasani articulated, “it would eliminate the often lengthy and costly process of diagnosing and/or locating pain.” As far as implementing the technology, Khorasani believes it is unlikely in the near future. She noted one limitation in that “the neurological impulses the scan would ideally track are fleeting and therefore the marker would probably not be present for a time increment long enough for current imaging technologies to capture it.” Nevertheless, Khorasani’s idea provides a goal for scientists with novel application for the treatments of both chronic pain and acute pain.
Vatan’s essay (see below) focused on the potential impacts of self-driving cars on daily life. Vatan chose self-driving cars as the next revolutionary invention because, unlike some other advancements that would be ground breaking to only a small group of people, “everyone can relate to the stress and time involved in driving a hectic commute.” She summarized the basic idea behind self-driving cars in that “the driver is completely removed from the task of driving.” Not only would self-driving cars provide the driver with freedom and time to do other tasks while her car took care of driving and transportation matters, but self-driving cars could also limit the number of car accidents because machine error is often much less than human error.

In her essay, Vatan eloquently presented a scenario in which a woman’s car picked her up from a wedding in the pouring rain. Rather than go out in the rain or pay for a valet, the woman could have her car pick her up, play her favorite song, and turn on the heat, all from the woman’s iPhone application. Vatan continues to explain the many technologies responsible for self-driving cars, including GPS, laser rangefinders, and inertial navigation systems, that develop and continuously refine a map of the car’s surroundings. She explains that these “[Technologies] then determine the optimal path based on viability, safety, and duration. Using infrared cameras, radar, proximity sensors, and, in the future, millimeter wave cameras that can see through rain and dense fog, they categorize the obstacles based on speed, trajectory, and shape. The cars will try to predict the motion of the obstacles and proceed efficiently and safely to the destination.” The future of self-driving cars seems enticing, and as Vatan determined, the safety and convenience benefits would revolutionize daily life.
Although neither student has decided which specific field she would like to pursue in the future, Khorasani and Vatan both intend to pursue science and medicine. Wherever their aspirations lead them, their critical thinking skills and creativity, both evident from their essays, will be sure to take them far!
————————————————————————–
Sophie Khorosani’s Essay
Positron emission tomography (PET) and functional magnetic resonance imaging (fMRI) have been employed in various functions of the medical field including the assembly of research to map the brain’s response to pain and painful stimuli. Functional MRIs provide a unique foundation from which to analyze brain activity, often utilizing blood-oxygen-level dependent (BOLD) contrast as a means of tracing active neurons, and 2013 studies conducted at the University of Colorado Boulder by Tor Wager, PhD, verified the ability of fMRI to distinguish intensities of pain. PET scans, meanwhile, capitalize on metabolic activity of active cells in the presence of a positron-emitting radionuclide in order to compose an image mapping the body’s functioning processes. Though these technologies represent impressive medical advancements, the transformative technology I envision would revolutionize the process of medical treatment and therapeutic decision-making.
Pain by a simple definition is the emotional response to activation of specialized sensory receptors, called nociceptors, that apprise the central nervous system of tissue damage in order to evoke a response or awareness of the affliction. I foresee a radical technology that by a series of imaging techniques inspired by PET scans and fMRIs enables identification of the specific bundle of nociceptors responding to an internal stimulus. Likely through the use of a tracer that illuminates the neurons’ electrical signal, this innovative imaging technique would serve as an indispensable diagnostic tool. Rapid and astonishingly specific diagnoses would facilitate targeted treatments effective in treating patient pain as well as frugal for health care institutions, which could administer necessary treatments without the expenses of numerous diagnostic images or procedures. Simply put, imaging capable of delineating the precise source of pain would deliver a novel guiding tool in patient care.
————————————————————————–
Naazanene Vatan’s Essay
“The Road Ahead is Driverless”
It is a dark and stormy night in 2020. You are leaving your friend’s wedding, but the sheets of rain and howling wind outside the glass doors of the hotel dampen your spirits. You can’t bring yourself to ruin your best evening gown and leather, open-toed heels in the ruthless weather. Fortunately, you don’t have to. The power to summon your car from ten blocks away rests at your fingertips. Your car, which you called for three minutes ago via iPhone app, arrives at the curb from its self-parked Smart-Parking spot. It has set itself to 70ºF and is playing your current favorite song. You have avoided the cost and delay of the valet and not ruined your evening attire in the rain.
The developing self-driving cars of today use a multitude of technologies, such as GPS, laser rangefinders, and inertial navigation systems to develop and constantly refine a map of their surroundings and to determine their exact location and orientation. They then determine the optimal path based on viability, safety, and duration. Using infrared cameras, radar, proximity sensors, and, in the future, millimeter wave cameras that can see through rain and dense fog, they categorize the obstacles based on speed, trajectory, and shape. The cars will try to predict the motion of the obstacles and proceed efficiently and safely to the destination.
According to the US government, eliminating human error in driving by using self-driving cars can save up to 27,000 lives and close to $300 billion annually. On an individual level, the development of an autonomous car can result in increased quality of life for the elderly and disabled, who were previously housebound by their inability to drive. The soccer mom can save hours of carpooling by sending her car to drive the kids around. While she is at work or resting at home, her car can even make her money by working for Uber or Lyft. Soon after owning one of these revolutionary machines you might wonder how we ever lived without them.